آیا از ایمپلنت های دندانی در اصلاح لبخند استفاده می شود؟
ایمپلنت های دندانی
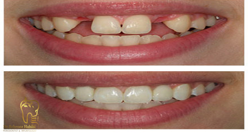
یک لبخند ناخوشایند نباید دائمی باشد. بسیاری از افراد می توانند با اصلاح لبخند از دندان های سفیدتر، صاف تر و زیباتر لذت ببرند. تعدادی از درمان های موجود وجود دارد که می تواند ظاهر دندان های بیمار را بهبود بخشد. ایمپلنت دندان یکی از گزینه های رایج برای کمک به ایجاد لبخندی زیباتر است.
چه زمانی در اصلاح لبخند نیاز به ایمپلنت است؟
در طول زندگی یک فرد، موارد زیادی می تواند باعث آسیب یا از بین رفتن یک یا چند دندان شود. هنگامی که آسیب به اندازه کافی شدید است که بر عزت نفس یا سلامت دندان فرد تأثیر می گذارد، ممکن است اصلاح لبخند مناسب باشد.
متخصص ایمپلنت در تهران را بشناسید.
تروما یا جراحت
صدمات ناگهانی و شدید دندانی اغلب می تواند منجر به آسیب غیرقابل برگشت به دندان شود. ممکن است تراشه، ترک و شکستگی ایجاد شود یا دندان به طور کامل کنده شود. ترومای دندان همیشه باید توسط دندانپزشک ارزیابی و ترمیم شود. در غیر این صورت، احتمالاً عوارض جدی از جمله عفونت، از دست دادن دندان، یا مشکلات هم ترازی ایجاد می شود.
پوسیدگی شدید
حفره ممکن است مانند یک مشکل جزئی دندانی به نظر برسد. با این حال، زمانی که پوسیدگی دندان برای مدت طولانی درمان نشود، می تواند به گسترش و ضعیف شدن دندان های آسیب دیده ادامه دهد. در این مواقع، ممکن است نیاز به ایمپلنت دندان برای جایگزینی دندان های آسیب دیده شدید باشد.
آیا میدانید آناتومی یک لبخند را چگونه است؟
از دست دادن دندان
در برخی شرایط نمی توان دندان را نجات داد. در این صورت، اگر دندان به خودی خود نیفتاده است، باید کاملاً کشیده شود. ایجاد شکاف می تواند باعث جابجایی سایر دندان های دائمی و ایجاد درد و همچنین کج شدن دندان ها شود. بنابراین، دندان های از دست رفته باید با نوعی درمان دندانپزشکی یا پروتز جایگزین شوند.
مشاهده صفحه اینستاگرام آقای دکتر بهروز حبیبی
چرا ایمپلنت های دندانی گزینه خوبی برای اصلاح لبخند هستند؟
اگر دندانی دیگر از نظر ساختاری سالم نیست یا نیاز به تعویض دارد، ممکن است ایمپلنت دندان به عنوان بخشی از اصلاح لبخند توصیه شود. ذکر این نکته ضروری است که این روش برای بهبودی کامل به چند ماه زمان نیاز دارد. با این حال، اکثر مردم متوجه می شوند که مزایای بلند مدت آن بسیار بیشتر از ناراحتی های کوتاه مدت است.
راه حل بادوام تربسیاری از گزینه هایی که برای ترمیم دندان آسیب دیده یا از دست رفته استفاده می شوند، طول عمر کمی دارند. حتی با مراقبت های خانگی عالی و تمیز کردن معمول، بسیاری از ترمیم های دندان باید پس از یک یا دو دهه جایگزین شوند.
اگر مراقبت در منزل کمتر از حد ایده آل باشد، طول عمر ممکن است به میزان قابل توجهی کوتاهتر شود. با این حال، ایمپلنتهای دندانی به گونهای طراحی شدهاند که بیمار برای تمام عمر دوام بیاورد. ظاهر واقعی ترتکنولوژی مدرن ساخت روکشی را که به خوبی با دندان های دیگر مطابقت دارد، آسان تر از همیشه می کند.
این بدان معناست که ایمپلنت ها در مقایسه با سایر گزینه های درمانی، واقعی ترین ظاهر را دارند. برای کسانی که خواهان لبخندی واقعاً جذاب و طبیعی هستند، ایمپلنت دندان بهترین انتخاب است.
نتیجه ایمپلنت های دندانی نقش مهمی در دندانپزشکی مدرن دارند. این نوع درمان می تواند به بازیابی عملکرد و ظاهر دندان از دست رفته برای لبخندی سالم تر و زیباتر کمک کند. امروز با یک دندانپزشک صحبت کنید تا متوجه شوید که آیا کاندیدای مناسبی برای کاشت ایمپلنت دندان هستید یا خیر.




بدون نظر